SDM小课堂 | 儿童正畸口内及面相照片拍摄要点
发布日期:2021-09-24 浏览次数:4504
对于隐形矫正来讲:
清晰,干净的口内及面相照片既可以帮助我们准确记录患者的术前情况,完善治疗方案,又可以在术后作为前后对比进行交流探讨。
但是随着市面上繁多的摄影设备和课程的面世,更多医生想要学习拍摄专业的医学摄影却又无从下手。而且对于不同的拍摄场景又有不同的需求,尤其是儿牙患者的特殊性,要求我们短时间内取下合格的作品增加了难度,配合熟练的技术和利手的设备才能完成目标。
本文旨在帮助大家快速建立起儿童口腔摄影的专业技术,用简单的分类和方法教会大家如何根据实际情况选择设备及拍摄整理照片。
正畸拍摄中设备的选择及参数调整
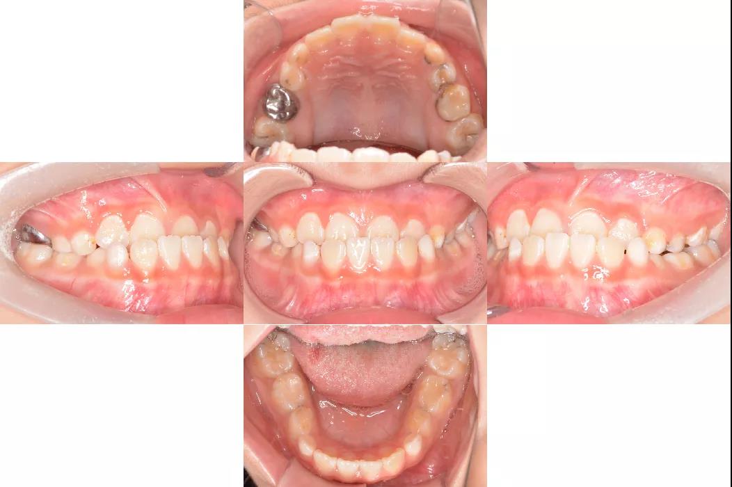
口内照
对于拍摄口内照,我们需要提前准备的设备有:
1)单反相机:佳能尼康设备随意,便宜的机器操作简单,重量轻,且没有必要购买昂贵的上万元机身的设备,如果大家不会选择就买能承受范围内京东销量好的即可。(注意问客服两个问题:1.要求是半画幅相机;2.要求可以外接副厂闪光灯)
2)微距镜头:购买微距镜头时请注意镜头卡口型号,佳能和尼康镜头不通用。建议买60mm F2.8镜头(两个品牌均有此型号)。此型号镜头重量价格和画质都可达到很好的效果。
3)闪光灯:如果仅进行正畸口内照拍摄,购买神牛ML-150环形闪光灯可以达到要求。价格便宜且操作简单,只需调整闪光强度即可。
4)口角拉钩:成人准备1组成人拉钩,1只口角拉钩,1组上下颌拍照的指状拉钩;
儿童准备1组儿童拉钩,1只口角拉钩,1组上下颌拍照的指状拉钩。
5)反光板:成人尽量选择宽版反光板,可以更好的拍全牙列,儿童尽量选择儿童专用的窄版反光板,或双头反光板(一侧窄,一侧宽,成人用宽,儿童用窄)尽可能减少患儿不适感。
图片
口内照的参数调整:
1)口内照由于是用微距镜头,在闪光灯的补光下尽可能减小光圈,达到全牙列清晰的深景深效果,建议大家将光圈调整至F18-F32之间均可,一般个人常用F25;
2)快门速度兼顾闪光灯快闪光时间和拍摄的稳定性建议大家将快门设置为1/125s;
3)ISO调节关系到照片的亮暗,通常调整到ISO200;
4)白平衡关系到照片的颜色,调整为图标是闪电的闪光灯模式;
5)闪光灯安装完毕后通常调整至1/4功率档,即可保证闪光灯的快速回电,又不至于拍摄照片过暗;
拍摄过程中先请患者准备好后空拍一张前牙列咬合照片查看曝光亮度,然后迅速调整参数,一般拍摄出过亮的照片我们可以将ISO缩小(例如拍摄过亮我们可以将ISO从200调整至100);反之拍摄照片过暗我们也可将ISO调大(例如ISO200调整到ISO400拍摄出来的照片会变亮)。
面相照
对于拍摄面相照我们需要准备的物品有:
1)单反相机:机身同口内拍摄同款即可;
2)镜头:镜头可选择60mm微距头或50mm人像镜头或变焦镜头均可,有些门诊买的是半画幅机身搭配百微镜头(100mm佳能,105mm尼康)整体会使拍摄面照距离过远,且装备重量大,不方便新手拍摄,所以建议大家直接购买半画幅机身搭配60mm镜头口内面照均可拍摄;
3)背景布:白色黑色均可;
4)摄影灯:两盏影棚闪光灯带柔光箱即可;
面相照参数调节:
1)面相照属于棚拍,一般会将光圈值调整到F8-F16之间;
2)快门速度兼顾闪光灯快闪光时间和拍摄的稳定性建议大家将快门设置为1/125s;
3)ISO调节关系到照片的亮暗,通常调整到ISO200;
4)白平衡关系到照片的颜色,调整为图标是闪电的闪光灯模式;
5)闪光灯安装完毕后通常调整至1/4功率档,即可保证闪光灯的快速回电,又不至于拍摄照片过暗;
拍摄过程中先请患者坐好后空拍一张查看曝光亮度,一般拍摄出过亮的照片我们可以将光圈缩小,也就是将光圈数值调大(例如拍摄过亮我们可以将F8光圈调整至F11);反之拍摄照片过暗我们也可将光圈调大,也就是光圈数值更小(例如F16调整到F11拍摄出来的照片会变亮)。
儿童拍摄照片中的注意事项
在给小朋友取资料拍照时,由于小朋友的注意力及配合程度不同,往往会让整个过程不顺利,轻则耽误时间,重则无法展开后续操作,家长失去耐心,所以对孩子进行正确的引导,配合上合适的工具尤为重要:
1.在拍摄口内照时一定要选择儿童拉勾牵拉口角,在牵拉之前一定要将拉钩边缘湿润防止磨疼孩子口角,口角再润涂凡士林双层保护;
2.拍摄侧面咬合照孩子可能会出现不咬牙的情况,这时候让孩子咽口水咬牙,并且侧头拍摄,成功率会更高;
3.上下颌拍摄时选择小号的反光板放置,在吹气时掌握好气吹强度,防止突然气吹造成的咽反应刺激;
4.对于相机参数一定要熟练,孩子耐心有限,在短时间内取下来口腔资料,一次成功率高,甚至曝光可以都后期在电脑上调整,只要构图没问题就直接拍摄,对于孩子来讲取下来资料比取好资料更重要;
5.面相照片拍摄要懂得抓拍,椅子放置转椅,可以在特殊角度(45度方向,90度方向)放置玩具或者醒目的海报,提高孩子注意力再抓拍下来,效果会更好,尽量不要用三脚架固定机位拍摄,孩子比较淘气的情况下头部不会固定在某一方向,快速抓拍很重要;
6.面相照片可以快速多张拍摄,前期拍的越多,后期越有可能选择出合适的图片。
对于隐形矫正来讲:
清晰,干净的口内及面相照片既可以帮助我们准确记录患者的术前情况,完善治疗方案,又可以在术后作为前后对比进行交流探讨。
但是随着市面上繁多的摄影设备和课程的面世,更多医生想要学习拍摄专业的医学摄影却又无从下手。而且对于不同的拍摄场景又有不同的需求,尤其是儿牙患者的特殊性,要求我们短时间内取下合格的作品增加了难度,配合熟练的技术和利手的设备才能完成目标。
本文旨在帮助大家快速建立起儿童口腔摄影的专业技术,用简单的分类和方法教会大家如何根据实际情况选择设备及拍摄整理照片。
正畸拍摄中设备的选择及参数调整
口内照
对于拍摄口内照,我们需要提前准备的设备有:
1)单反相机:佳能尼康设备随意,便宜的机器操作简单,重量轻,且没有必要购买昂贵的上万元机身的设备,如果大家不会选择就买能承受范围内京东销量好的即可。(注意问客服两个问题:1.要求是半画幅相机;2.要求可以外接副厂闪光灯)
2)微距镜头:购买微距镜头时请注意镜头卡口型号,佳能和尼康镜头不通用。建议买60mm F2.8镜头(两个品牌均有此型号)。此型号镜头重量价格和画质都可达到很好的效果。
3)闪光灯:如果仅进行正畸口内照拍摄,购买神牛ML-150环形闪光灯可以达到要求。价格便宜且操作简单,只需调整闪光强度即可。
4)口角拉钩:成人准备1组成人拉钩,1只口角拉钩,1组上下颌拍照的指状拉钩;
儿童准备1组儿童拉钩,1只口角拉钩,1组上下颌拍照的指状拉钩。
5)反光板:成人尽量选择宽版反光板,可以更好的拍全牙列,儿童尽量选择儿童专用的窄版反光板,或双头反光板(一侧窄,一侧宽,成人用宽,儿童用窄)尽可能减少患儿不适感。
图片
口内照的参数调整:
1)口内照由于是用微距镜头,在闪光灯的补光下尽可能减小光圈,达到全牙列清晰的深景深效果,建议大家将光圈调整至F18-F32之间均可,一般个人常用F25;
2)快门速度兼顾闪光灯快闪光时间和拍摄的稳定性建议大家将快门设置为1/125s;
3)ISO调节关系到照片的亮暗,通常调整到ISO200;
4)白平衡关系到照片的颜色,调整为图标是闪电的闪光灯模式;
5)闪光灯安装完毕后通常调整至1/4功率档,即可保证闪光灯的快速回电,又不至于拍摄照片过暗;
拍摄过程中先请患者准备好后空拍一张前牙列咬合照片查看曝光亮度,然后迅速调整参数,一般拍摄出过亮的照片我们可以将ISO缩小(例如拍摄过亮我们可以将ISO从200调整至100);反之拍摄照片过暗我们也可将ISO调大(例如ISO200调整到ISO400拍摄出来的照片会变亮)。
面相照
对于拍摄面相照我们需要准备的物品有:
1)单反相机:机身同口内拍摄同款即可;
2)镜头:镜头可选择60mm微距头或50mm人像镜头或变焦镜头均可,有些门诊买的是半画幅机身搭配百微镜头(100mm佳能,105mm尼康)整体会使拍摄面照距离过远,且装备重量大,不方便新手拍摄,所以建议大家直接购买半画幅机身搭配60mm镜头口内面照均可拍摄;
3)背景布:白色黑色均可;
4)摄影灯:两盏影棚闪光灯带柔光箱即可;
面相照参数调节:
1)面相照属于棚拍,一般会将光圈值调整到F8-F16之间;
2)快门速度兼顾闪光灯快闪光时间和拍摄的稳定性建议大家将快门设置为1/125s;
3)ISO调节关系到照片的亮暗,通常调整到ISO200;
4)白平衡关系到照片的颜色,调整为图标是闪电的闪光灯模式;
5)闪光灯安装完毕后通常调整至1/4功率档,即可保证闪光灯的快速回电,又不至于拍摄照片过暗;
拍摄过程中先请患者坐好后空拍一张查看曝光亮度,一般拍摄出过亮的照片我们可以将光圈缩小,也就是将光圈数值调大(例如拍摄过亮我们可以将F8光圈调整至F11);反之拍摄照片过暗我们也可将光圈调大,也就是光圈数值更小(例如F16调整到F11拍摄出来的照片会变亮)。
儿童拍摄照片中的注意事项
在给小朋友取资料拍照时,由于小朋友的注意力及配合程度不同,往往会让整个过程不顺利,轻则耽误时间,重则无法展开后续操作,家长失去耐心,所以对孩子进行正确的引导,配合上合适的工具尤为重要:
1.在拍摄口内照时一定要选择儿童拉勾牵拉口角,在牵拉之前一定要将拉钩边缘湿润防止磨疼孩子口角,口角再润涂凡士林双层保护;
2.拍摄侧面咬合照孩子可能会出现不咬牙的情况,这时候让孩子咽口水咬牙,并且侧头拍摄,成功率会更高;
3.上下颌拍摄时选择小号的反光板放置,在吹气时掌握好气吹强度,防止突然气吹造成的咽反应刺激;
4.对于相机参数一定要熟练,孩子耐心有限,在短时间内取下来口腔资料,一次成功率高,甚至曝光可以都后期在电脑上调整,只要构图没问题就直接拍摄,对于孩子来讲取下来资料比取好资料更重要;
5.面相照片拍摄要懂得抓拍,椅子放置转椅,可以在特殊角度(45度方向,90度方向)放置玩具或者醒目的海报,提高孩子注意力再抓拍下来,效果会更好,尽量不要用三脚架固定机位拍摄,孩子比较淘气的情况下头部不会固定在某一方向,快速抓拍很重要;
6.面相照片可以快速多张拍摄,前期拍的越多,后期越有可能选择出合适的图片。
- 上一篇:SDM医学君 | 附件粘接示范操作
- 下一篇:SDM小科普 | 复诊要点及监控
